
If you are considering orthodontic treatment then you may have heard about Invisalign clear aligners. But what is Invisalign and how does it work?
Invisalign treatment is becoming increasingly popular with both teens and adults as a way to straighten teeth without the metal wires and brackets of traditional fixed braces. Clear aligners are discreet, convenient and more comfortable than the traditional alternative.
The technology used to plan and monitor treatment enables Invisalign doctors to closely monitor your progress and even make adjustments mid-treatment if your teeth are not moving as planned. The Invisalign system also has an app that lets you keep track of your aligners and see how your smile is changing.
Invisalign aligners gradually straighten and align your teeth. The way that they do this is by applying pressure to certain teeth to move them into the desired position. They may also use attachments, buttons and elastics to apply extra pressure to certain teeth or to align your bite.
Who is eligible for treatment with Invisalign?
It’s important to note that this aligner system is not suitable for everyone. Those with complex orthodontic issues may still need to consider more traditional routes of treatment. That being said, continual advancements in Invisalign's aligner technology mean that more and more cases can be treated.
Depending on the individual case, some of the orthodontic issues that this aligner system may be able to treat include:
- Crowding
- Gaps between teeth (diastema)
- Crooked teeth
- Overbites
- Underbites
- Crossbites
- Overjets
Invisalign at GFDHC
Here at GFDHC Neha Devalia is the Dentist that carries out the Invisalign treatment and has had a number of positive cases
Currently the price list for Invisalign goes as followed:
Consultation fee £30.00
If at this consultation appointment you decide to have the impressions and clincheck the fee is £150.00
Please be aware these charges will be deducted from the total balance.
Alligner treatment £2800*
Follow up Viviera retainers £600*
Permenant retention £200**
*Please note these prices are based on an average of our previous treatments. This can differ per patient depending on the treatment required.
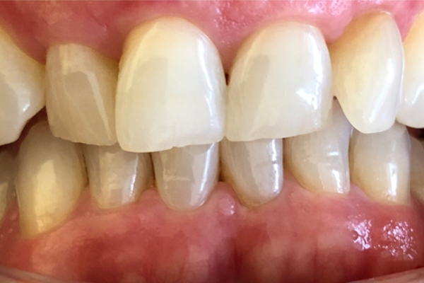
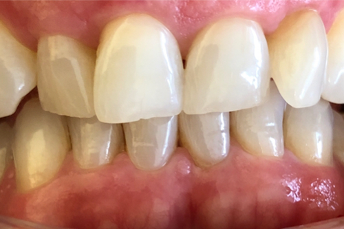
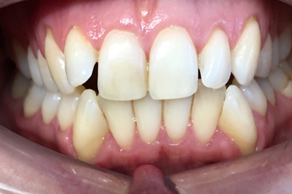
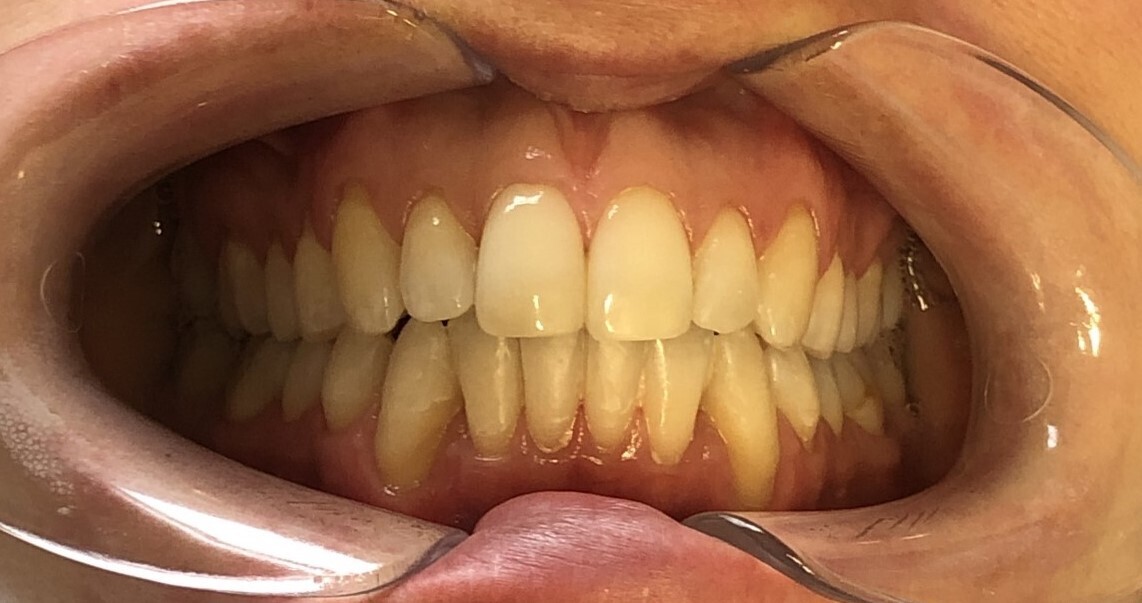
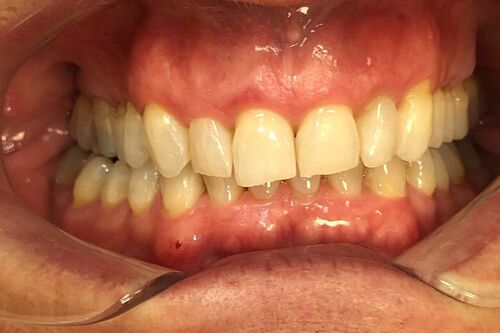
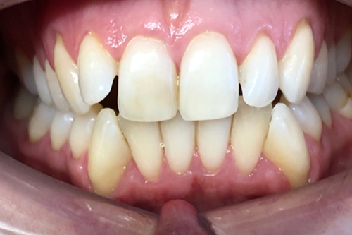
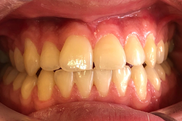
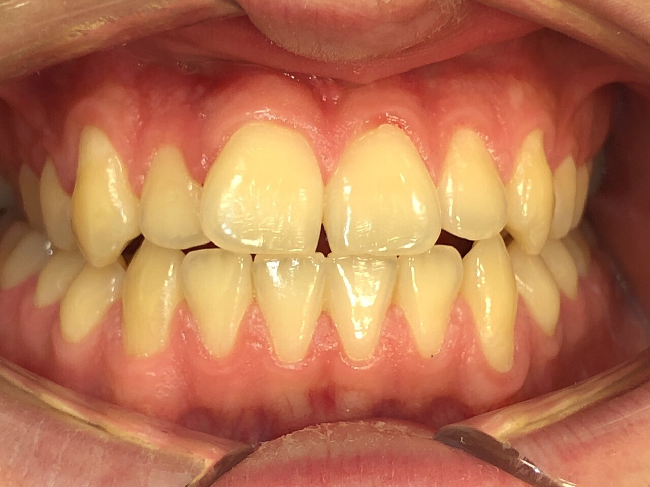
Invisalign Case Studies
Invisalign Testimonials
I am so pleased with the treatment I received. My teeth look great and I have had so many people comment on how fantastic they are looking since I have had my Invisalign treatment.
It has given my confidence a boost and I am now happy to smile without worrying about the way my teeth look. I would recommend anyone who wants to smile with confidence to come to you for treatment! I was always taken care of so well during my appointments and was given regular 'check in' phone calls, especially during these uncertain times with the pandemic.
Thanks again and I will be smiling with confidence for the rest of my life.
Emma
The first thing to say is now that I am at the end of my aligner treatment, I am delighted with the results.
After investigating other methods of improving “my smile” I decided Invisalign was the right treatment for me as it is completely non invasive with perfect results.
My treatment was originally planned for 13 weeks and then extended to 22 weeks, during which time I had the complete support of a professional and determined dental team, which added to the success of the aligners.
You personally need to commit to this treatment for a number of reasons:
1. There is a degree of discomfort as your teeth are gently moved by the aligners, however this only tends to last 24-48 hours maximum after each aligner change.
2. It can also often be difficult at times to speak clearly while wearing the aligners.
3. Keeping up with timely dental appointments is also very important and although I personally found the regular taking of impressions very uncomfortable they are a necessary part of making sure the aligners are actually doing their job.
Using retainers to keep the newly moved teeth in place is the final part of the treatment, there is no discomfort whatsoever while wearing these but again you need to remain patient and committed.
A recommended option to help keep teeth in place and work alongside the retainers is retainer wires fitted to the back of the teeth, this didn’t work for me as the wires became detached on more than one occasion so I opted to have them totally removed and work with the retainer trays only.
All in all I would definitely recommend this treatment.
Susan
Myself and my husband had Invisalign treatment. Although the whole process can take a number of months the outcome is exactly what we wanted. Teeth are beautifully straight now. We did the teeth whitening ourselves after treatment and this finished everything off nicely. We now just have a fixed wire behind our lower and upper teeth but also choose to wear a retainer at night to prevent teeth from moving back.
Very happy with the outcome! Happy to answer any questions people may have.
Karina & Craig